Gestační diabetes, který patří mezi časté komplikace v těhotenství, nelze brát na lehkou váhu. Podle studie vědců z Ústavu histologie a embryologie Lékařské fakulty UP, kteří se zabývají výzkumem Hofbauerových buněk v placentě, totiž může vést k poruchám rozvoje cév nezbytných k výživě plodu. Výsledky své práce publikovali v prestižním časopise Frontiers in Immunology a během vyzvané přednášky s nimi seznámili i na mezinárodním sympoziu ve Velké Británii.
Placenta zajišťuje správný růst a vývoj plodu. Skládá se z tkáně, která částečně patří matce a částečně plodu, a má unikátní složení buněk imunitního systému. Vědci z Ústavu histologie a embryologie LF UP se zaměřují především na studium takzvaných Hofbauerových buněk, jediných dosud známých buněk imunitního systému placenty, které mají fetální původ. Popsány byly již na konci 19. století, výraznější pozornosti odborníků se jim však dostává teprve v posledních letech.
„Hrají významnou roli v normálním průběhu těhotenství, kdy se podílejí na vzniku a přestavbě placenty tak, aby vždy zajišťovala optimální výživu plodu, a na vzniku imunologické tolerance, která zajišťuje ochranu plodu před imunitním systémem matky. Postupně se mimo jiné ukazuje, že změny v počtu a biologickém chování těchto buněk v souvislosti s těhotenskými komplikacemi, jako je preeklampsie, záněty placenty nebo diabetes, mohou vést k předčasným porodům. Podle nejnovějších výzkumů také mohou předpovědět budoucí výskyt kardiovaskulárních a neuropsychiatrických onemocnění,“ uvedl přednosta ústavu Zdeněk Tauber.
Společně s kolegy nyní přispěli do mozaiky poznatků o Hofbauerových buňkách dalším dílkem. Ve studii publikované ve Frontiers in Immunology (dostupné zde) se zaměřili na změny těchto buněk u pacientek s diabetem prvního typu a s gestačním diabetem, který je znám též jako těhotenská cukrovka. Ta je častou komplikací v těhotenství a léčí se v prvé řadě nastavením dietního režimu do porodu i po něm.

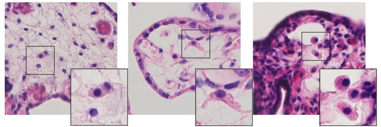
Hofbauerovy buňky se u normální placenty (vlevo), diabetu 1. typu (uprostřed) a gestačního diabetu liší mimo jiné i svým tvarem. U diabetu 1. typu jsou protáhlé a často nepravidelné, naopak u gestačního diabetu jsou velmi kulaté. Zdroj: Ústav histologie a embryologie LF UP
„Zatímco u diabetu prvního typu jsme zaznamenali poměrně významnou zánětlivou aktivaci Hofbauerových buněk, což zvyšuje riziko předčasného porodu, u gestačního diabetu došlo jen k minimálním změnám v počtu nebo tvaru buněk. Překvapila nás však velká nerovnováha mezi produkovanými enzymy, které metabolizují protizánětlivé molekuly, a enzymy, které je naopak rozkládají. Tato nerovnováha může vést k poruchám růstu cév a nesprávnému fungování placenty,“ přiblížil přednosta s tím, že k tomuto objevu dospěli jako první na světě. „Byť jde o prvotní data a budeme se tématu dále věnovat, můžeme říci, že těhotenský diabetes by neměl být podceňován,“ dodal.
Nejen tato aktuální zjištění olomouckých odborníků představila spoluautorka studie Kateřina Čížková na vyzvané přednášce na 15th International Symposium of Clinical and Applied Anatomy ve Velké Británii. „Byla to pro mě obrovská čest a prestiž prezentovat jako zvaný řečník výsledky naší práce na tomto mezinárodním setkání, kde se sešly špičky morfologických oborů ze šestnácti zemí světa. Na přednášku jsme měli velmi pozitivní ohlasy. Potěšila mě především reakce profesora z Japonska, který chválil zajímavé téma, ale vyzdvihl i to, že naše práce na ústavu má jasnou linku od základního výzkumu až po potenciální možnosti terapeutického využití. Nicméně už jen to, že nás pozvali na vyzvanou přednášku, potvrzuje, že naše práce má smysl,“ uzavřela Kateřina Čížková.
Kromě publikace v prestižním časopise a vyzvané přednášky na mezinárodní konferenci se Ústav histologie a embryologie LF UP může z poslední doby pochlubit i dalšími úspěchy. Doktorandka Kateřina Koubová získala rovnou dvě ocenění za práci z oblasti výzkumu diferenciace střevních buněk, když po Ceně děkana LF UP za nejlepší studentskou vědeckou práci za rok 2023 obdržela i Výroční cenu České společnosti histo- a cytochemické za nejlepší původní vědeckou publikaci v oboru histochemie, imunohistochemie a cytochemie. Studii zveřejněnou v časopise BBA-General Subjects najdete zde. Student Všeobecného lékařství Max Mrštík zase s prací Morfometrická analýza Hofbauerových buněk u placenty s diabetem zvítězil v kategorii preklinických a teoretických oborů na letošní konferenci SVOČ, o které jsme psali zde.
„Velmi si těchto úspěchů a ocenění vážím, a to s vědomím, že náš ústav patří k nejmenším na fakultě a situace v morfologických oborech v ČR je poměrně složitá. Jsem moc rád, že se nám takto daří a mám obrovskou radost z úspěchu našich kolegyň a kolegů. Přeji si, aby se nám dařilo i nadále,“ uvedl přednosta ústavu Zdeněk Tauber.